報社資訊
尖山顯濟殿舉行「開光點眼」擲吉儀典 陳光復為「東山再起之金玄武靈龜」點睛祈福 「尖山顯濟殿元宵乞龜搏金磚文化季」將於2月8日熱鬧登場,活動將連續5天至元宵節,並以2,688塊金磚(總重2,688公斤)平安米砌成「東山再起之金玄武靈龜」,象徵通往自信、幸福與財富的道路上,同時設有多達30攤特色美食與遊戲攤位,以及趣味十足的擲筊活動, 是結合傳統信仰與地方文化的盛會。
(記者陳猛/澎湖報導)今年澎湖元宵活動,由尖山顯濟殿率先開跑,2/6日上午於廟前廣場舉行「東山再起之金玄武靈龜-開光啟靈」植福祈安儀式。縣長陳光復受邀為靈龜點睛祈福,並分送代表吉祥、喜氣的麻糬、餅乾和糖果給...
雲林巧新科技董事長黃聰榮接任雲科工業區廠商協進會第11屆理事長 期許承先啟後 深化產業鏈結、促進多方交流溝通
【雲嘉特派員陳信利/雲林報導】由雲林科技產業園區廠商組成的「雲林科技工業區廠商協進會」今天(6日)在斗六三好國際酒店,舉辦「第11屆第1次會員大會、理監事會議暨春節聯誼餐敘」,並進行理事長交接典禮,由縣長張麗...
新港奉天宮開臺媽祖熱鬧起駕 四年一度出巡吳地、三槺榔、十八庄
【記者任禮清/嘉義報導】新港奉天宮適逢四年一度出巡遶境,前往吳地、三槺榔、十八庄,繞行溪口鄉、元長鄉、民雄鄉、北港鎮、新港鄉,共5鄉鎮40村里及72間宮廟,6日隆重點燃起馬炮後起駕,全程七天六夜徒步賜福。 新港...
澎湖紫微宮敬贈孝義公益米靈龜 馬公市長黃健忠率隊祈福迎祥 市長黃健忠表示,市政團隊將持續與地方宮廟協作,凝聚社會善念,共同推動城市發展,提升市民福祉,並祝願新春吉祥、萬事勝意。
(記者陳猛/澎湖報導)農曆正月初九俗稱「天公生」,也就是玉皇大帝的誕辰,馬公市長黃健忠2/6日率市政團隊前往澎湖紫微宮參拜,敬獻香花,虔誠祈願市境安寧、百業興旺、市民康泰。 在紫微宮甲辰年爐主洪勤謀、副爐...
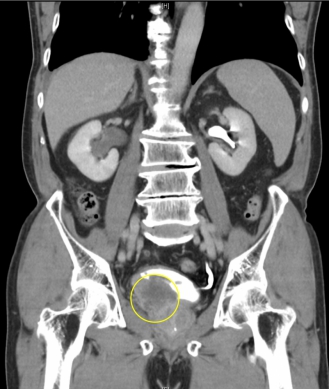
七旬男子至員基醫院求診而揪出膀胱癌(圓圈處)。(照片員基提供)
〔記者周為政、林碧珠員林報導〕七旬男子血尿至員基醫院求診,醫師揪出膀胱癌,即時開刀手術而確保健康。 員基醫院說,七十餘歲男子發現血尿,起初不以為意,認多喝水就會獲得改善,但症狀未見好轉,乃至員基...
嘉義基督教醫院「五餅二魚分享車」 穿梭各護理站送點心和飲料 為護理天使注入能量
【記者張文一嘉義報導】護理人員日夜辛勤,常常忙得無暇好好吃飯,為了照顧這群默默付出的白衣天使們,嘉義基督教醫院護理部與院牧部攜手,推出「五餅二魚分享車」,藉由點心飲料的暖心行動,讓忙碌中的護理同仁...
嘉大學生參與國合會海外技術協助服務人數創新高 獨占大專校院鰲頭 7位同學充分開展臺灣青年在國際舞台上合作視野
【記者張文一嘉義報導】財團法人國際合作發展基金會近日舉辦第六屆「大專青年海外技術協助服務計畫」,海外實習生、實習志工及實習華語教師聯合實習成果分享會,共有24位大專學生完成為期5個月的海外實習,其中嘉義大...
南投縣榮獲113年「運動i臺灣」特優獎 打造全民運動宜居城市
〔記者陳朝枝∕南投報導〕南投縣在113年運動i臺灣2.0計畫中表現卓越,再度榮獲「特優」縣市的殊榮。教育部體育署於114年2月5日舉辦頒獎典禮,南投縣政府教育處長王淑玲代表領獎。王處長表示,南投縣透過運動i臺灣計畫,辦...
高雄7旬婦人疑遭73歲男友殺害分屍
【記者陳信銘/高雄報導】高雄市驚傳殺人分屍案,70歲老婦2日失蹤,家人報案後,警方5日晚在婦人73歲張姓男友位於前鎮區的住家發現多處血跡,並從監視器發現張男至少5次從家中帶著可疑物品外出至前鎮區一處大水溝,已撈...
縣府114年1月人民團體推動性別主流化成果報告
〔記者陳朝枝∕南投報導〕南投縣政府依據行政院性別平等政策綱領,鼓勵人民團體於組織章程增訂理事、監事組成單一性別至少1/3之比例,以倡導人民團體性別平權及減少決策角色之性別落差,114年1月份有1個社團將「理事、監...





