【記者張世昌台中報導】
在台灣,口腔癌多見於長期抽菸、飲酒及嚼食檳榔的高風險族群,但臨床上仍有一定比例患者並無上述習慣,卻因警覺性不足而延誤就醫。口腔癌治療以手術為主,術後常因口腔結構受損,導致張口受限、吞嚥困難,或因牙齒拔除影響咀嚼功能,對患者身心與生活品質造成重大衝擊。
在台灣,口腔癌多見於長期抽菸、飲酒及嚼食檳榔的高風險族群,但臨床上仍有一定比例患者並無上述習慣,卻因警覺性不足而延誤就醫。口腔癌治療以手術為主,術後常因口腔結構受損,導致張口受限、吞嚥困難,或因牙齒拔除影響咀嚼功能,對患者身心與生活品質造成重大衝擊。
40歲的許小姐於2024年至 中山醫學大學附設醫院(中山附醫)口腔顎面外科就醫,經診斷為上顎牙齦癌,需進行大範圍上顎骨切除手術,不僅影響外觀,口內鄰近腫瘤的10顆牙齒也必須一併拔除,對日後進食與生活功能影響甚鉅。醫療團隊於術前即運用 電腦數位模擬技術,精準規劃腫瘤切除範圍、術後牙齒排列位置,並模擬將植體植入顴骨中,以彌補上顎骨缺損,為後續功能與外觀重建預先做好完整藍圖。
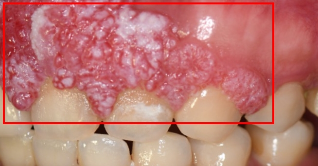
圖:許小姐腫瘤位於上顎齒齦區域
圖:許小姐腫瘤位於上顎齒齦區域手術當日,由中山附醫口腔顎面外科 邱昱瑋、陳怡孜及陳珮吟三位主治醫師組成的醫療團隊主導,採用電腦數位模擬與導航輔助手術。團隊先依模擬結果精準切除腫瘤,再依規劃完成牙齒重建位置,並將植體植入顴骨內,同時結合切割導版與電腦導航系統輔助。所有手術程序於同一日一次完成,包括 上顎口腔癌腫瘤切除、頸部淋巴清除、顴骨植牙與游離皮瓣重建,不僅大幅縮短整體治療時程,也有效降低患者身體與心理負擔。術後,許小姐已成功恢復正常咀嚼功能,生活品質明顯提升。
中山附醫口腔顎面外科自2018年起,即全面導入電腦數位模擬手術與精密導航技術,廣泛應用於顏面骨折外傷、正顎手術、腫瘤切除與重建等領域。透過術前精準模擬與即時導航,不僅可減少手術誤差與傷口範圍,也能提升手術安全性與準確度,協助患者在外觀與功能上同步重建,順利回歸正常生活。
邱昱瑋主治醫師提醒,即使不抽菸、不喝酒、不嚼檳榔,仍有可能罹患口腔癌。若民眾發現口腔內出現 長期不癒的潰瘍、腫塊、異常疼痛或黏膜變色,應儘早就醫檢查,把握黃金治療時機,以提高治療成效並降低後遺症風險。(圖片由中山附醫公關室提供)
圖:患者許小姐牙齒重建後狀態;術後成功恢復正常咀嚼功能,生活品質大幅提升。
圖:患者許小姐牙齒重建後狀態;術後成功恢復正常咀嚼功能,生活品質大幅提升。







