〔記者周為政彰化報導〕19歲少年騎車自摔,造成脾臟碎裂,幸經彰基整合創傷團隊搶救成功而保住一命。
彰基總院長陳穆寬教授表示,此案例的成功仰賴一套成熟的重大外傷處置流程和彰基各專科間無縫合作,陳總院長提醒鄉親,機車騎士為交通事故高風險族群,務必注意行車安全,穿戴適當防護裝備,才能保護自身安全。
彰基說,少年送到急診室之後,在短時間內情況就急轉直下,因為體內大量出血,陷入休克狀態,急診團隊發現情況危急,立即啟動院內「重大外傷小組」機制,包括外傷科、一般外科、骨科、胸腔外科和整形外科等醫療專家,火速到位,展開全面救治。
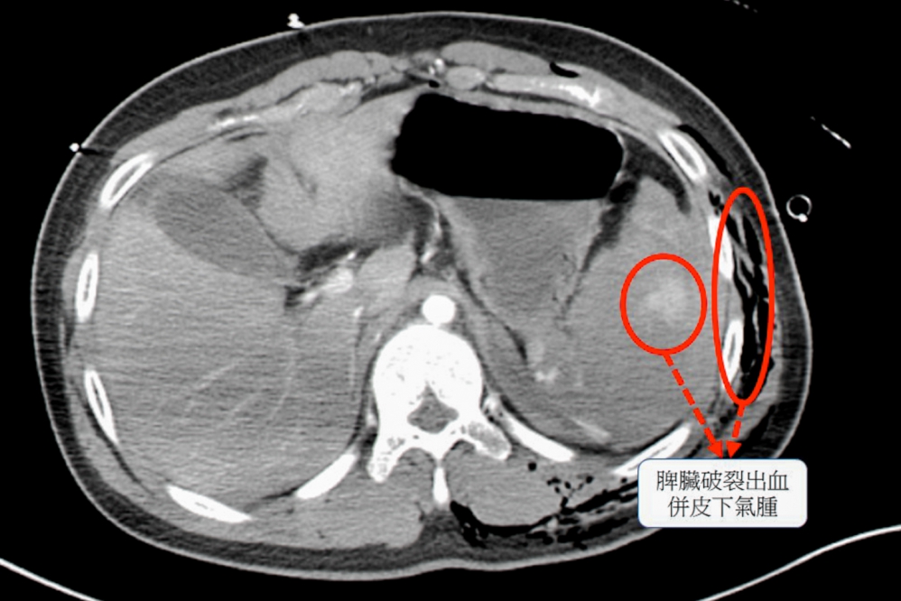
彰基指出,經電腦斷層檢查,確認少年脾臟完全碎裂,為體內大出血主因,同時合併胸腔積血、積氣及多處骨折與血管撕裂傷,面對如此複雜傷勢,外科團隊首先進行緊急手術,切除破裂的脾臟,以控制出血,骨科與整形外科團隊則接力進行骨折固定和血管修補,穩定少年生命跡象。
彰基說,少年在術後因嚴重胸部創傷,引發急性肺損傷,導致呼吸功能衰竭,傳統呼吸器已無法提供足夠氧氣,緊要關頭啟用「葉克膜」(體外維生系統),暫時替代他的心肺功能,給受創的肺部爭取到寶貴復原時間。
經加護病房團隊近一個月的悉心照護,少年終於康復出院,重拾青春歲月,醫師提醒,交通事故之後,切勿輕忽內傷可能性。
彰基醫療長張尚文醫師指出,許多嚴重內臟損傷,事故發生初期,症狀可能不明顯,例如重創的少年,一開始也僅是口述胸痛。張尚文醫療長呼籲,發生撞擊事故後即使自我感覺良好,也應盡速就醫接受完整評估,切勿因一時疏忽,錯失治療黃金時機,第一時間至具備完整急救能力的創傷中心,為提高存活率關鍵。
報社資訊
分享















