〔記者周為政彰化報導〕肺腺癌初期並無症狀,等到腫瘤被發現時已侵犯或轉移,沒有咳嗽或胸悶等典型症狀,等到腫瘤被發現時已侵犯或轉移,彰基醫學中心胸腔內科主任林聖皓醫師,希望民眾定期篩檢,善用政府提供的免費篩檢補助,及早掌握健康。
彰基指出,最近國內有幾位名人因肺腺癌驟逝而引發社會對「最沉默的癌王(肺腺癌)」高度關注,肺腺癌初期幾乎沒症狀,等出現頭暈、咳嗽或神經異常時,往往已到晚期。
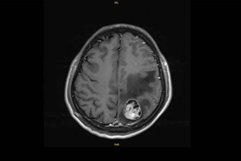
彰基醫學中心曾於3年前成功治癒一名合併腦轉移的肺腺癌個案,透過跨科團隊精準治療,病人終於康復重返職場,彰基說,患者是41歲許姓男子,從事文具業務,為家裡經濟支柱,三年前(2022年)6月某日清晨,右側肢體突然無力、抽搐,繼而倒地不起,許男由家人送彰基急診,經電腦斷層和核磁共振檢查,發現腦部有約3.1公分腫瘤,進一步追蹤,右下肺有4公分腫塊,醫師確診肺腺癌合併腦轉移。
胸腔內科主任林聖皓說,肺腺癌是很具挑戰性癌症類型,不吸菸也可能罹患,肺腺癌細胞經常潛藏在肺的周邊組織,初期沒有咳嗽或胸悶等典型症狀,等到腫瘤被發現時已侵犯或轉移,此時,必須透過基因分型找出關鍵突變,再用對應標靶藥物,此為近年肺癌治療最大突破之一。
林主任說,病人入院時,醫院依臨床流程完成初步基因檢測,不能使用突變標靶,團隊持續評估治療方向,協助病人參與國衛院臨床基因試驗,最終發現具EGFR exon 19 deletion突變,可以申請第三代EGFR標靶藥物,讓治療更具針對性和精準性。
林聖皓醫師說,經一段時間影像追蹤,顯示肺部腫瘤從原本的4公分縮小為2.8公分,控制成效顯著,儘管標靶藥物初期控制良好,許姓患者仍出現神經症狀,胸腔內科隨即啟動跨科整合照護,與神經外科孫立偉醫師合作完成腦部腫瘤手術,術後雖神經功能逐漸恢復,但考量治療效果,經與胸腔外科召開跨科討論後,由洪維亨醫師進行「肺葉切除」手術,達成更徹底控制。
洪維亨醫師說,肺癌合併腦轉移手術風險高,但彰基具備完整影像導引和重症照護體系,可讓病患安全完成手術,並由「病友中心」協助申請「育田基金」補助,減輕經濟壓力。
林主任說,在家人和團隊陪伴下,許先生跨出關鍵一步而接受治療,術後恢復良好,現已重返職場,轉為計程車司機。
林聖皓主任說,肺癌是台灣癌症死亡首位,早期幾乎無症狀,唯有透過低劑量電腦斷層(LDCT)才能及早發現,有吸菸史或家族病史或長期暴露油煙的民眾,都應定期篩檢,不可等到身體出現警訊才就醫,提醒民眾善用政府提供的免費篩檢補助,及早掌握健康。
報社資訊
分享

















