[記者張世昌台中報導]
台中市一名五十歲設計師Alice,以雙手三刀剪技術聞名,時尚設計風個格是許多婚紗攝影公司的特約髮型設計師。今年九月初有天一覺醒來右肩膀劇烈疼痛,痛到無法舉手,吃三天止痛藥無效,被迫臨時停工,就醫後才發現自己罹患鈣化性肌腱炎,經醫師藥物、熱療、電療合併震波治療,她順利重回職場,讓年底新嫁娘漂亮走紅毯。
台中市一名五十歲設計師Alice,以雙手三刀剪技術聞名,時尚設計風個格是許多婚紗攝影公司的特約髮型設計師。今年九月初有天一覺醒來右肩膀劇烈疼痛,痛到無法舉手,吃三天止痛藥無效,被迫臨時停工,就醫後才發現自己罹患鈣化性肌腱炎,經醫師藥物、熱療、電療合併震波治療,她順利重回職場,讓年底新嫁娘漂亮走紅毯。
衛生福利部臺中醫院復健科蔡逸松醫師指出,患者就醫時原以為只是睡姿不良,到藥局買了止痛藥吃未改善,就醫接受x光與超音波檢查,才發現自己右肩四條旋轉肌中負責舉手功能的棘上肌鈣化,導致無法舉手,經消炎藥、熱療一個月效果未如預期,急著返回工作崗位的她嘗試用體外震波治療,幸運治療三周後大為改善,不但可以舉手還可以輕鬆操作剪刀設計髮型;目前使用體外震波治療需自費無健保給付。
圖:非侵入性的體外震波治療,臨床上在治療鈣化性肌腱炎、足底筋膜炎、以及網球肘都有良好的效果醫師特別提醒,接受體外震波治療後應該多加休息,治療一週內禁止服用人蔘、泡湯及熱敷,避免增加疼痛狀況;治療後如果有紅、腫、疼痛的狀況,可冰敷15到20分鐘,如果疼痛可服用普拿疼止痛。
蔡逸松醫師表示,鈣化性肌腱炎是種退化性疾病,病因不明,與之前舊傷或退化甲狀腺功能異常 糖尿病有關,盛行率有2.7%~10%並不低,主要發生於40~60歲民眾,如果民眾未跌倒卻突然肩部疼痛、活動度受限,應盡速就醫,由專科醫師診斷並提供最適合的治療方式,才能讓自己盡速恢復正常生活。
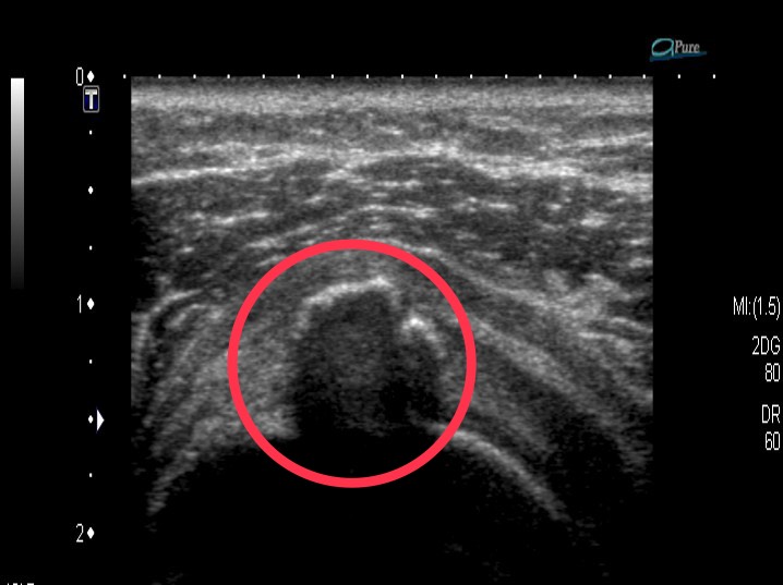
圖:圈起來為棘上肌,上方周邊亮光處即爲鈣化部位
圖:圈起來為棘上肌,上方周邊亮光處即爲鈣化部位








