〔記者周為政彰化報導〕雲林縣七旬老翁便秘,竟是7公分大腸癌作祟,經彰基醫學中心以「達文西單孔SP」手術而順利除癌。
老翁在8年前曾在國健署提供的大腸癌篩檢中出現糞便潛血反應,然後接受大腸鏡檢查,當時只發現息肉,因檢查過程不適而放棄處理。不料8年後出現腹脹、排便困難,但頻頻有便意,一天幾乎有一半時間待在馬桶上。
老翁苦笑,還好是坐式馬桶,不然一定會倒下去,家人陪老翁到雲基醫院就醫,醫師安排「舒眠」大腸鏡檢查,老翁「睡一覺」,醒來就完成檢查。
彰基說,檢查結果顯示大腸有異常病灶,經評估需手術治療,為讓父親減少疼痛,恢復更快,老翁女兒選擇轉至彰基醫學中心,由大腸直腸外科主任張譽耀採用單孔達文西機械手臂SP系統手術。
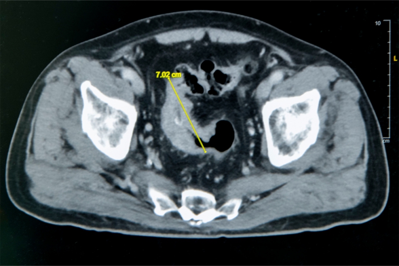
張譽耀主任說,老翁罹患「乙狀結腸癌」,腫瘤7公分,造成腸子幾乎完全阻塞,也導致老翁一進食肚子就脹又痛,術前因不敢進食,老翁體重下降,營養不足,造成傷口癒合不良,老翁手術有兩個傷口,一個在肚子上,一個在腸子,腸子傷口癒合不良,會造成腸吻合滲漏,到時就須做人工肛門,幸好提早住院,透過靜脈營養針先建立營養,讓病人強健身體,再手術,術後傷口順利癒合。
老翁術後恢復良好,疼痛比預期還減少,老翁開心說,沒想到很快就能下床,感謝醫師。
彰基說,目前使用的單孔達文西SP系統,為全台少數有此設備的醫院之一,系統啟用首日,彰基總院長陳穆寬教授親自完成兩例頭頸癌達文西切除手術,完全無疤痕,不但兼顧外觀和功能,也讓病人術後出血少,住院時間短。
彰基說,這套設備在狹小空間操作特別有優勢,因從自然孔進行手術,病人術後臉部外觀看不出有開刀痕跡。
彰基同時配置達文西多孔系統與SP單孔系統,可依不同疾病特性,選擇最合適的機器人手術方式。
張譽耀主任說,達文西手術具備高解析3D視野與靈活精密機械手臂,可減少傷口和疼痛,多孔系統操作範圍廣,但腹壁仍需數個小切口,SP單孔系統將傷口減少到只有一個,適合年長或希望減少不適的一般患者,全台不到十台SP系統,彰基具備兩套設備,可以針對不同手術需求互補運用,為病人量身打造更精準、個人化微創治療。
張譽耀主任說,大腸癌長期居國人十大癌症發生率前幾名,透過國健署提供的糞便潛血篩檢,可早期發現、早期治療,避免疾病惡化。
彰基醫學中心每年收治相當多經外院檢出大腸癌患者,約有三成個案是在院外篩檢後轉介來彰基治療,其中以南投地區民眾居多,顯示跨區民眾對彰基手術技術的信任。彰基將持續強化篩檢宣導和精準手術發展,守護更多中部地區民眾健康。
報社資訊
分享















